У тернопільській обласній лікарні вперше виконали унікальну операцію на серці

В Тернопільська обласна клінічна лікарня вперше виконано транскатетерну імплантацію аортального клапана через трансапікальний доступ.
Одразу дві пацієнтки поважного віку з критичним звуженням аортального клапана та важкою супутньою патологією прооперовані збірною командою відділення інтервенційної радіології, кардіохірургії та трансплантології Тернопільської обласної клінічної лікарні та відділення мініінвазивної кардіохірургії клініки для дорослих центру дитячої кардіології та кардіохірургії, м. Київ. Про це повідомив лікар Богдан Маслій на своїй сторінці у Фейсбуці.
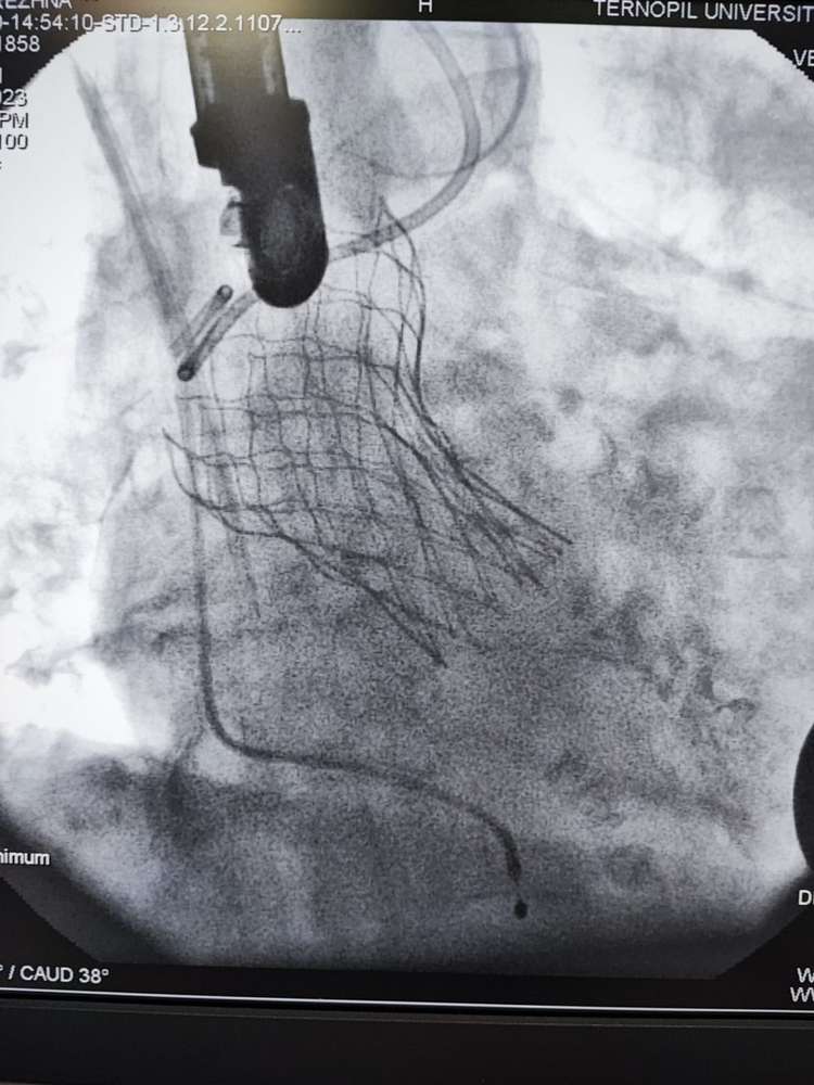
Одна з пацієнток має важке викривлення хребта, і внаслідок цього анатомічно складне положення серця, аорти та інших внутрішніх органів, яке практично унеможливлювало виконання заміни клапану іншим доступом окрім трансапікального. Суть операції полягає в тому, що на працюючому серці виконується невеликий отвір, через який через трубку-катетер по провіднику вводиться згорнутий клапан, – йдеться в дописі. 
Лікар додає, що позиціонування контролюється як рентгенівським зображенням так і черезстравохідним ультразвуковим датчиком.
Після імплантації хірург затягує вузол навколо отвору і ушиває рану. Крововтрата є мінімальною. Наша лікарня вже має досвід імплантації шести аортальних клапанів через стегнову артерію. А тепер освоїли і цю методику, яка має свої переваги в певній групі пацієнтів,- зазначив Богдан Маслій. 

Джерело | обласТь

Тернопіль Теребовля Бучач Заліщики Борщів Чо р тків Г у сятин Підв о ло- чиськ Ланівці Збараж Шумськ К ременець К озова Бережани Підгайці Зборів Монасти- риська